Obat Kencing Nanah Ampuh Tanpa Dokter

Obat Kencing Nanah Ampuh,Terbukti Secara Klinis Atasi Kencing Nanah Dalam 3 Hari Tanpa Dokter!

apa Penyebab Kencing Nanah ?

Kencing Nanah merupakan gangguan kesehatan yang disebabkan oleh bakteri Neisseria gonorrhoeae.

Penyakit ini dapat muncul karena :

  1. Aktivitas intim di usia muda
  2. Sering berganti pasangan

  3. Tidak menggunakan pengaman saat beraktivitas intim

  4. Memiliki riwayat infeksi menular sebelumnya

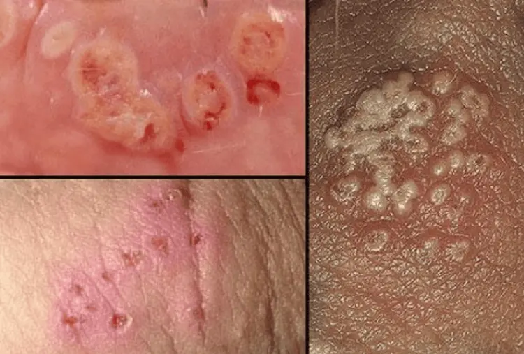
Gejala
Kencing Nanah?

Jika Sudah Alami Gejala Kencing Nanah. Anda Harus Segera Berobat!

Penyakit Kencing Nanah atau Gonore dapat memicu risiko adanya Komplikasi serius dengan organ tubuh yang lain dan yang terburuk dapat menyababkan AIDS/HIV. Anda dapat menularkan kencing nanah/gonore ke orang terdepat anda. Berikut ini yang akan terjadi jika komplikasi yang ditimbulkan dari kencing nanah tidak segera di obati.

Kenapa Pilih Obat Kecing Nanah Vigrofit?

Vigrofit Aman Terverifikasi BPOM

10,000++ Pasien Terbantu, Dengarkan Kata Mereka.

Tunggu Apa Lagi? Kini Waktunya Anda Sembuh!
Segera Dapatkan Obat Kencing Nanah Dan Rasakan Khasiatnya!

Beli Sekarang Diskon 40 Ribu 
Hubungi Kami

Yang Sering Ditanyakan? (FAQ's)

Obat Kencing Nanah – Vigrofit dapat di konsumsi oleh berbagai kalangan baik itu ibu hamil ataupun menyusui karena tiap kapsul Vigrofit tidak mengandung bahan kimia berbahaya.

Bisa, Obat Kencing Nanah Vigrofit dapat diminum minimal 1 jam setelah meminum obat lainnya.

Dengan Obat Kencing Nanah Vigrofit, gejala kencing nanah umumnya mulai membaik dalam 3–7 hari dan bisa sembuh total dalam 1–2 minggu.

Ciri-ciri pria terkena gonore meliputi keluarnya cairan seperti nanah dari penis, nyeri saat buang air kecil, testis terasa nyeri atau bengkak, dan gatal di area dubur. Gejala biasanya muncul dalam beberapa hari setelah terinfeksi.

Segera hubungi admin kami untuk bantuan secara langung terkait masalah pengiriman barang dll

Copyright @ 2026 | klikdocter.com